Arthrosis of the knee joint (gonarthrosis)is a chronic progressive disease of the knee joints with damage, thinning and destruction of its cartilage part (articular surfaces of the femur and tibia), as well as damage to the subchondral bone.From the studies (arthroscopy and MRI) it has been proven that in addition to damage to the articular cartilage, the menisci and synovial membrane are also involved in the process.Gonarthrosis is one of the most common orthopedic pathologies.It has its synonyms - osteoarthritis (OA), deforming arthrosis.The disease is an important socio-economic problem, as it is widespread and significantly worsens the quality of life of patients due to constant pain and, in addition, becomes a cause of high disability.

Until the mid-eighties of the last century, there was no unified definition of the disease.Only in 1995, the osteoarthritis committee of the American College of Rheumatology characterized the disease as the result of mechanical and biological factors leading to an imbalance between the processes of degradation and synthesis of the extracellular matrix of articular cartilage.As a result, fiber disintegration and degeneration occurs, cracks, osteosclerosis and compression of the cortical layer of the subchondral bone are created, osteophytes and subchondral cysts grow.
Why does arthrosis of the knee joint occur?
Risk factors for osteoarthritis include:
- chronic traumatization (violation of physical activity, excess weight);
- endocrine, inflammatory, metabolic and ischemic diseases;
- the presence of congenital or acquired disorders of relationships, shape or structural organization of the articular ends.
If you notice similar symptoms, consult your doctor.Do not self-medicate - it is dangerous for your health!
Symptoms of arthrosis of the knee joints
Osteoarthritis of the knee joint is characterized by:
- gradual onset;
- mild pain in the joints when moving, especially when going up and down stairs;
- "tightness", stiffness and "initial pain" that appears during the first steps and decreases or disappears if the patient "diverges", after a significant physical activity is resumed.
- the appearance of the knee remains the same.Sometimes there is slight swelling or accumulation of fluid in the joint.At the same time, the knee increases in volume, swells, flattens, and limitations in movement and heaviness are felt.
Painful sensations
As the disease progresses, the pain becomes more intense, appearing even with slight exertion and long walking.Localized along the anterior-inner surface of the joint.Prolonged rest usually helps the pain go away.
Limited mobility of the knee joint and a characteristic crack
With arthrosis, the range of motion of the joints may decrease, a crack may appear, and sharp pains appear when the leg is bent to the maximum.
Deformation of the knee
The node configuration changes, as if expanding.
Synovitis
Synovitis of the knee joint is an inflammation of the lining of the inner cavity of the joint.The disease manifests itself in the form of swelling of the knee, redness of the skin and limited mobility of the joint.With the development of arthrosis, synovitis occurs more often, lasts longer and involves a large amount of fluid.
The last stage of gonarthrosis is distinguished by the fact that the pain becomes almost constant, causing anxiety not only while walking, but also at rest, and even at night, when patients have to look for a comfortable position to sleep.Movement is more limited: it is difficult to fully bend and straighten the leg.The joint deforms and increases in volume.Valgus (X-shaped) or varus (O-shaped) deformity of the feet is often observed.Walking becomes unsteady and wobbly.In severe cases, a cane or crutch is needed.

According to researchers, 76% of elderly people who complain of knee pain have X-rays showing gonarthrosis.According to statistics, women are more often affected by this disease, which is associated with hormonal changes after 45 years.
Pathogenesis of knee joint arthrosis
There are primary and secondary osteoarthritis.
Primary arthrosis of the knee joint
- Articular cartilage is constantly destroyed and renewed;normally, these processes are balanced.With age, cartilage renewal slows down and destruction begins to prevail, which is called the process of degradation or degeneration.The weight of a person plays an important role, since with a mass of 70 kg in 20 steps we carry 700 kg on each leg (70 kg x 10 steps), and with a mass of 120 kg we already carry 1200 kg on each leg.Therefore, weak cartilage wears out much faster;
- it is necessary to remember: the joint receives nutrients and is restored while moving;A sedentary lifestyle reduces metabolic processes and the necessary elements do not reach the cartilage;
- There is conflicting evidence about the role of heredity in the occurrence of the disease.If parents had arthrosis, then the likelihood of its appearance in children increases;
- occurs due to autoimmune synovial inflammation.
Secondary arthrosis of the knee joint
- injuries (fractures, tears of the meniscus and anterior cruciate ligaments).Unfortunately, in any person, regardless of age, these injuries lead to excessive stress on the cartilage.A fracture of any part of the bone covered with cartilage is accompanied by the formation of an unevenness - a "step".In this area, when it moves, erosion occurs and arthrosis is formed;
- rheumatoid arthritis, Koenig's disease (osteochondritis dissecans), the consequences of purulent inflammation in the joints (gonitis), etc.;
- regional vascular disorders;
- chronic exudative-proliferative and cicatricial processes in the joint.

With arthrosis (osteoarthrosis), in addition to the progressive destruction of cartilage, the loss of its elasticity and shock-absorbing properties, the bones are gradually involved in the process.Under load, sharp edges (exostoses) appear, which are mistakenly considered "salt deposits" - with classic arthrosis, salt deposition does not occur.As osteoarthritis progresses, it continues to "eat away" the cartilage.Then the bone is deformed, cysts are formed there, all joint structures are affected and the leg bends.
In addition to the inner or outer part of the knee, arthrosis can also affect the surfaces between the patella and the intercondylar groove of the femur.This option is calledpatellofemoral arthrosis.
Its cause is usually a subluxation, fracture or lateralization of the patella.

Classification and stages of development of arthrosis of the knee joints
Regardless of the cause, there are three stages of gonarthrosis, or deforming arthrosis of the knee joint.
Gonarthrosis, stage I
The first stage of the disease is characterized by primary changes in hyaline cartilage.Bone structures are not affected.The blood supply to the intraosseous vessels and capillaries is interrupted.The surface of the cartilage becomes dry and loses its softness.If the disease is accompanied by synovitis with constant tension, then a Baker's cyst (hernial protrusion of the joint capsule of the popliteal region) develops.After significant stress on the joint, dull pain appears.There may be slight swelling that goes away after resting.There is no deformation.
Gonarthrosis, stage II
In the second stage, the cartilage layer becomes significantly thinner, and in some places it is completely absent.Osteophytes appear along the edges of the articular surfaces.The qualitative and quantitative characteristics of the joint synovial fluid change - it becomes thicker, more viscous, which leads to a deterioration of its nutritional and lubricating properties.The pain is more prolonged and severe, and there is often a popping sound when moving.There is mild or moderate limitation of motion and mild joint deformity.Taking analgesics helps relieve pain.
Gonarthrosis, stage III
Absence of cartilage in the most affected areas, severe sclerosis (hardening) of the bones, many osteophytes and a sharp narrowing or lack of joint space.Pain is almost constant, walking is impaired.Mobility is very limited, and joint deformity is evident.NSAIDs, physiotherapy and other standard methods of treating knee arthrosis are ineffective.
Types of gonarthrosis
Depending on the number of affected joints, unilateral and bilateral gonarthrosis are distinguished.
Complications of arthrosis of the knee joints
The most common complication of stages II and III is tendovaginitis of the group of adductor muscles of the thigh.This is manifested by pain along the inner surface of the joint, which intensifies with movement.The cause is the imbalance and deformation of the muscles.With a long-term decrease in range of motion, contracture develops.In addition, synovitis often occurs.
Consequences of advanced gonarthrosis
Gonarthrosis affects the entire musculoskeletal system, disrupting the biomechanics of the spine and other large joints of the lower extremities.This can lead to herniated discs and arthritis of other joints.The second knee joint is overloaded (if the disease is unilateral), as the patient spares the injured leg, transferring the weight to the other, healthy one.
Diagnosis of arthrosis of the knee joints
Instrumental diagnosis of arthrosis of the knee joint
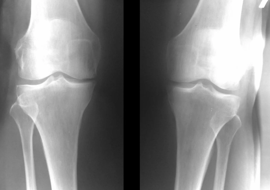
In the vast majority of cases, an examination and X-ray of the knee joint in two projections (direct and lateral) is sufficient.Clinical data and imaging help determine the stage of the disease.

In the early stages of the disease, with small changes in the bone tissue, the X-ray examination is not so valuable.At this stage, gonarthrosis can be diagnosed through arthroscopy.The accuracy of the method is very high;only its invasive nature and price can stop it.
Ultrasound does not allow clear visualization of changes in articular cartilage and intra-articular structures.Using MRI, you can detect changes in the structure of bones, cartilage and soft tissues of the joint, as well as subchondral bone, with 85% accuracy.Scintigraphy can be used to assess the metabolic activity of periarticular bone tissue.
Laboratory diagnosis of knee joint arthrosis
An increased content of phosphorus and calcium in the dehydrated synovial fluid is evidence of the destruction of the osteochondral tissue of the joint and the accumulation of degradation products.Blood is also examined - general analysis and erythrocyte sedimentation rate (ESR);determine the level of fibrinogen, urea and other biochemical parameters of blood and urine.
Is it possible to completely cure deforming arthrosis of the knee joint?
Gonarthrosis can be completely cured only in the earliest stage of the disease.
Which doctor treats deforming arthrosis of the knee joint?
A traumatologist-orthopedic or rheumatologist makes a diagnosis and prescribes treatment.
Treatment of arthrosis of the knee joints
CONSERVATIVE — anti-inflammatory drugs, pain relievers, muscle relaxants, vascular, chondroprotectors, compresses, kinesiotaping, physiotherapy, physiotherapy, orthotics.
Minimally invasive- Pre-articular blockade (Novocaine + medication that relieves pain and inflammation), injection of artificial lubricant into the joint itself, raising the plasma.
surgery — arthroscopy (method with low trauma for the treatment of intra-articular pathologies and removal of damaged structures), endoprosthetics.
Drug treatment (drugs for the treatment of arthrosis of the knee joint)
Conservative methods are more effective in the initial stage of the disease.They help reduce pain and temporarily slow the destruction of cartilage.In phase II, more effective methods are needed.The introduction of hyaluronic acid preparations into the joint cavity is used to reduce cartilage friction and trauma.There is no clear evidence for cartilage restoration, but it is good for lubricating surfaces."PRP therapy" (plasmolifting) is the injection of platelet-rich plasma into the knee joint, which is obtained from the patient's own blood by centrifugation.It nourishes the cartilage and promotes its restoration, as autoplasmic platelets contain numerous growth factors and cytokines that stimulate the regeneration of damaged tissues.
Surgical treatment and endoprosthetics
Endoprosthesis replacement is a common and effective surgical method for the treatment of severe gonarthrosis, which allows you to maintain limb mobility and the ability to lead a full life afterwards.This is a high-tech operation that takes approximately an hour and a half.In the postoperative period, long-term rehabilitation and development of the joint is necessary.After 25-30 years, when the artificial joint wears out, it must be replaced again.

Physiotherapy and kinesitherapy
Physiotherapy and kinesitherapy methods for the treatment of arthrosis of the knee joint are ineffective.
Diet therapy
A diet is only necessary to maintain a normal weight;there are no restrictions on the consumption of certain foods for gonarthrosis.
Does the blockade help with gonarthrosis?
For arthrosis of the knee joint, a pre-articular block is used - an injection of the drug into the soft tissue around the joint.During the procedure, the area of inflammation and pain points near the joint are determined, the skin is treated with alcohol and hydrocortisone is injected into this area with an anesthetic.
Therapeutic exercises for arthrosis
Therapeutic exercises are useful both for patients suffering from gonarthrosis and for the prevention of this disease.Effective exercises:
- full flexion and extension of the leg, lying on the back;
- Raising one leg straight up while lying on your back.
The prediction.Preventing
You must understand that if arthrosis begins to develop, then it must be treated immediately.If you are at risk for this disease, you can delay the start, so it is recommended:
- reduce stress on the knee joint;
- swam - water relieves stress;
- massage the muscles of the lower leg and thigh yourself;
- avoid hypothermia and overwork;
- maintain normal weight;
- quit smoking and alcohol;
- women wear comfortable shoes with low heels;
- do physical therapy
Before starting therapeutic exercises, you should definitely consult your doctor.Exercises are performed at a slow pace.If pain or discomfort occurs during gymnastics, the exercises should be stopped.
It is necessary to use only effective drugs.Rubbing, compresses and other popular methods are ineffective;they do not act on the cause of the disease, but only help divert attention from the pain.Avoid injury and overload - jumping, carrying heavy objects, standing for a long time or sitting in an uncomfortable position.This accelerates the progression of the disease.
It is also necessary to promptly diagnose and treat rheumatoid arthritis, gout and systemic diseases.
What factors influence the long-term prognosis of knee osteoarthritis?
The prognosis depends on the stage in which the patient went to the doctor and on the appropriate therapy.The sooner you start the right treatment, the higher the chances of avoiding surgery.






















